권장 성인 예방접종 종류
- 건강정보
- 2020. 10. 15.
안녕하세요? 트위티 파파입니다.
여러분 모두 2020년 독감 백신 예방접종은 받으셨나요? 저는 회사 지원으로 무료 접종을 했습니다만, 이번에 독감 백신의 상온 노출 등 문제로 백신 물량 수급이 어려워짐에 따라 접종 받기가 굉장히 어려운 상황이었습니다. 올 해에는 인플루엔자 뿐만 아니라 코로나19로 인해 빠른 접종을 권고하기도 했었는데 아이러니한 상황이 되어버렸습니다. 우리는 흔히 성인보다는 신생아나 어린이들이 예방접종이 필요하다고 생각하는 경우가 많습니다. 하지만 성인 역시 챙겨야할 권장 예방접종이 있는데 나이나 질환 여부, 직업에 따라 개인에게 필요한 예방 접종의 차이가 있을 수 있지만 소아기에 맞은 백신의 효과를 지속하거나, 성인에게 발병률이 높은 질환을 예방하기 위해 예방접종이 필요합니다. 오늘은 성인에게 권장되는 예방접종의 종류에 대해서 살펴보도록 하겠습니다.

예방접종

예방접종은 감염병을 예방하여 건강상태를 개선시켜 사망률을 낮추는데 효과적입니다. 예방접종은 크게 약독화 생백신, 불활성화 사백신으로 나눌수 있습니다. 생백신은 병원체를 인위적으로 약화시켜 만든 백신을 의미하며, 사백신은 배양된 병원체(세균이나 바이러스)를 열이나 약품처리를 통해 비활성화 시킨 백신입니다. 즉 예방접종은 종류에는 차이가 있지만 미리 우리 체내에 바이러스를 주입하여 항체를 형성시킴으로써 감영원으로부터 면역이 생길 수 있도록 해주는 역할을 합니다. 최근에는 무료 건강검진 및 무료 예방접종을 할 수 있는 방법도 많이 있으니 정보를 잘 찾아보시기 바랍니다.
파상풍 예방접종


파상풍균은 녹슨 금속, 오염된 흙이나 동물에 의해 감염되며, 외관상 뚜렷하지 않은 작은 상처를 통해서도 균이 들어 올 수 있고, 동물에 물린 경우 감염되기도 합니다. 파상풍은 생각보다 치명률이 높은 질환으로 파상풍 예방접종을 하지 않은 경우나 불충분하게 받았을 경우 굉장히 위험할 수 있으니 반드시 파상풍 예방접종을 받아야 합니다.
파상풍 예방접종은 우리나라에서 신생아, 소아 국가 예방접종으로 모두 예방접종을 받는다고 할 수 있으나 그 효과가 영구적이지 않다고 합니다. 그래서 만 1세 전에 기본 3회 접종, 15개월~18개월 사이에 추가 접종, 4~6세에 추가 접종을 하게 되는데 이 때 맞은 파상풍 예방접종의 효과가 10년 정도 지속된다고 합니다. 따라서 이렇게 추가 접종까지 모두 받은 성인들은 10년마다 한번씩 파상풍 예방접종을 맞는 것을 권장하며, 해외나 환경이 좋지 못한 곳에 갈 때는 반드시 추가로 확인하고 필요하다면 접종하는 것이 좋습니다.
A형 간염 예방접종

A형 간염은 대부분 오염된 음식이나 물을 통해 감염되는 것으로 알려져 있으며, 접종 경험이 없거나 위험이 큰 국가로 여행하는 경우에는 접종이 권장됩니다. 특히 A형 간염은 1차 접종 후 1년 이내 2차 접종을 마쳐야 완전히 항체가 생기는 것으로 건강검진을 받는 성인의 경우 항체 형성 여부를 확인한 뒤 스케줄에 맞게 예방접종을 하는 것이 필요합니다.
폐렴사슬알균(폐렴구균) 예방접종


폐렴사슬알균(폐렴구균)은 폐렴, 급성 중이염, 뇌수막염 등의 감염을 일으키며 사망원인 3위로 만성 질환자나 노인의 경우 폐렴구균으로 인한 칩습성 폐렴구균 감염증은 치명적일 수 있습니다. 그렇기 때문에 65세 이상의 모든성인에게 예방접종을 권장하며, 65세 미만이라도 만성 폐질환 환자나 당뇨병, 면역저하자 등 고위험군은 반드시 예방접종을 하는 것이 좋습니다.
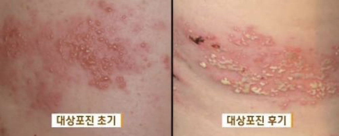
대상포진 예방접종


앞선 포스팅에서 대상포진의 초기 증상에 대해서 알아보았습니다. 대상포진도 상당한 통증이 수반되며, 치료 후에도 그 통증이 만성처럼 지속될 수 있어 예방하는 것이 더욱더 좋겠습니다. 특히 대상포진은 발생 부위가 눈이나 귀를 침범할 경우 기능 손상도 동반될 수 있기 때문에 60세 이상은 예방접종을 받으시는 것을 권장합니다. 하지만 대상포진의 경우 약독화 생백신으로 면역력 저하자에게는 접종을 금하고 있으며, 50세~59세 이하인 경우에도 개별 상태를 점검하여 접종이 가능합니다. 다만, 50세 미만 성인들 중 이전에 대상포진에 걸렸던 사람들은 백신의 효과가 검증되지 않아 접종을 권하지 않습니다. 하지만 대상포진에 걸렸던 사람 중 50세 이상은 예방접종을 권장하고 있으니 참고하시기 바랍니다.
독감 인플루엔자 예방접종


우리가 흔히 예방접종, 백신이라고 하면 알고 있는 독감, 즉 인플루엔자 예방접종은 매 년 1회 예방접종 받는 것을 권장합니다. 인플루엔자 바이러스는 변이를 잘 일으키기 때문에 세계보건기구(WHO)에서는 매년 새로 유행할 바이러스를 예측하여 백신을 만들며, A형 인플루엔자와 B형 인플루엔자 두 가지에 대한 백신을 만들게 됩니다. 이 때 3가 독감 백신은 A형 인플루엔자 2가지와 B형 인플루엔자 1가지를 예방하며, 4가 백신은 A형, B형 각각 두가지 인플루엔자를 예방할 수 있습니다. 예측이 빗나가면 독감이 기승을 부릴 수도 있지만 최대한 과거 데이터와 고도의 분석을 통해 예측을 한다고 하니 믿고 예방접종을 반드시 받아야 겠습니다. 우리나라에서는 독감 인플루엔자 예방접종을 노인이나 어린이 등 취약계층에게 무료로 실시하고 있는데 고등학생까지 무료로 접종할 수 있다고 하니 참고하시기 바랍니다. 최근 많은 논란이 있지만 일정과 본인이 무료 접종 대상인지 확인하시어 반드시 접종 받으시길 권장합니다.
연령별 성인 예방접종표


대한감염학회라는 곳에 가면 연령별 성인 예방접종표를 받아 보실 수 있습니다. 연도별로 조금씩 상이한 부분이 있으니 자세한 내용은 대한감염학회 홈페이지를 참고하시고 2019년 기준의 연령별 성인 예방접정표를 참고하셔 본인 연령대에 맞는 예방접종이 있는지 확인하시고 빠른 시일내에 접종을 받으시길 바랍니다. 연령대 별로 접종이 필요한지와 국가나 지방자치단체에서 지원이 되는 항목인지, 본인이 무료로 접종을 받을 수 있는 대상인지도 다시 한번 확인해보시기 바랍니다.
마치며
오늘은 성인에게 권장되는 예방접종의 종류에 대해서 알아보았습니다. 최근에 독감 인플루엔자 백신의 수급이 부족하여 접종 일정이 지연되고 있다는 기사들을 많이 볼 수 있는데 일단 당장 급한 예방접종인 독감 먼저 예방접종을 받으시길 바랍니다. 추가적으로 위에서 소개드린 연령대에 계신 분들은 반드시 권장되는 예방접종을 받으셔서 불편함이 없으시길 바랍니다.
'건강정보' 카테고리의 다른 글
| 연령별 건강검진 항목 추천 (0) | 2020.10.20 |
|---|---|
| 여성 방광염 증상 및 원인 (2) | 2020.10.19 |
| 대상포진 원인 및 초기증상과 치료방법 (0) | 2020.10.13 |
| 10월 제철 과일 왕대추 사과대추 효능 및 부작용 (0) | 2020.10.10 |
| 갑작스런 가슴통증 늑골염 늑연골염 증상과 원인 및 치료방법 (0) | 2020.10.04 |